با تأکید بر سلامتی و کیفیت مواد، ما تضمین میکنیم که با انجام ایمپلنت و خدمات ترمیمی بهترین نتیجه را برای زیبایی لبخند و قدرت فک و دندان شما به ارمغان می آوریم.
ارايه دهنده خدمات ایمپلنت، روکش دندان، لمینیت، کامپوزیت و عصبکشی با هدف بهبود و زیبایی لبخند شما، تا همیشه به آن افتخار کنید
















پیش از اینکه به یک کلینیک دندانپزشکی مراجعه کنید، باید در رابطه با ویژگیهای دندانپزشکان آن اطلاعات داشته باشید؛ چرا که بهداشت دهان و دندان موضوع مهمی به شمار میرود. اعتماد به دندانپزشک باعث میشود که به راحتی بر روی صندلی دراز بکشید و اجازه دهید دندانپزشک از همه ابزار، تجهیزات و سوزنها استفاده کند. در صورتی که تجربه بدی از مراجعه به دندانپزشکی داشته باشید، هرگز آن را فراموش نخواهید کرد؛ بنابراین باید به بهترین دندانپزشک مراجعه کنید. افراد زیادی وجود دارند که وارد دانشکده دندانپزشکی میشوند، اما تنها تعداد کمی از آنها میتوانند ویژگیهای بهترین دندانپزشک را داشته باشند. دکتر سامان کلانتری یکی بهترین دندانپزشکان است که در ادامه به ویژگیهای منحصر به فرد ایشان اشاره میکنیم.
به طور کلی مهارت و تعهد کاری یکی از عواملی است که دکتر سامان دندانپزشک را از سایر دندانپزشکان متمایز میکند. بسیاری از بیماران در زمان مراجعه به مطبها یا کلینیکهای دندانپزشکی دچار اضطراب میشوند. اما دکترسامان کلانتری با درک بالای خود با آنها ارتباط صحیحی برقرار میکند تا از استرس آنها بکاهد. در ادامه به سایر ویژگیهای این دندانپزشک محبوب و مجرب اشاره میکنیم:
دکتر سامان کلانتری که به عنوان ایمپلنتولوژیست و متخصص پروتزهای دندانی شناخته میشود، مدرک تحصیلی خود را از دانشگاههای معتبر تهران دریافت کرده است. علاوه بر این موفق به اخذ بورد تخصصی خود در زمینه پروتز نیز شده است. دکتر کلانتری استاد دانشگاه میباشد و تاکنون دورههای ایمپلنت زیادی را برگزار کرده است.
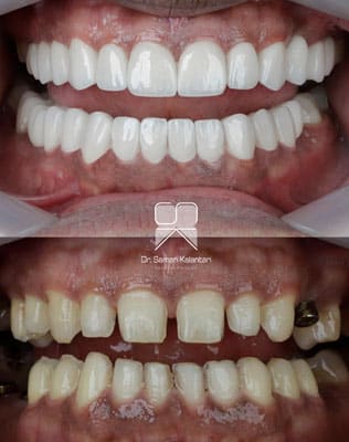
تجربه و سابقه زیاد دندانپزشک میتواند بر روی جذب بیمار تاثیر بگذارد. همه افراد میخواهند به دندانپزشکانی که تجربه و مهارت زیادی دارند مراجعه کنند تا باکیفیتترین خدمات را دریافت نمایند. بنابراین در صورتی که یک دندانپزشک موفقیتهای زیادی در کارنامه کاری خود به ثبت رسانده باشد، بیماران راحتتر به او اعتماد میکنند. دکتر سامان کلانتری بیش از ۱۰ سال سابقه درخشان در زمینه دندانپزشکی در تهران دارد و تاکنون ۵۰۰۰ واحد روکش کامپوزیت، لمینت و ایمپلنت موفق تحویل مراجعه کنندگان داده است.
بهترین دندانپزشک باید از تکنولوژیهای پیشرفته استفاده کند تا بتواند تکنیکهای جدید را ارائه دهد و روشهای درمانی را با موفقیت اجرا کند. از آنجایی که درمانهای دندانپزشکی از حساسیت و پیچیدگی زیادی برخوردار هستند، همه دندانپزشکان باید از پیشرفتهترین و جدیدترین تجهیزات استفاده کنند تا بهترین نتیجه را به همراه داشته باشند. در صورتی که برای خدمات دندانپزشکی از تجهیزات و تکنیکهای قدیمی استفاده شود، نه تنها نتیجه مطلوبی به همراه نخواهند داشت؛ بلکه باعث آزار و اذیت مراجعه کننده نیز میشوند. کلینیک دندانپزشکی دکتر کلانتری مجهز به جدیدترین تجهیزات میباشد. با مقایسه این کلینیک با سایر کلینیکها، متوجه تفاوت آن خواهید شد. تجهیزات پیشرفته موجود در دندانپزشکی دکتر کلانتری به عنوان بهترین روش تبلیغاتی برای این دندانپزشک به شمار میروند و باعث معروفیت آن شدهاند.
بهترین دندانپزشکان به جزئیات توجه زیادی میکنند؛ چون در حیطه دندانپزشکی جزئیات بسیار مهم هستند و عدم توجه به آنها مشکلات زیادی را ایجاد میکند. از آنجایی که دکتر کلانتری دندانپزشک در زمینه ایمپلنت، کامپوزیت، لمینت و سایر خدمات زیبایی دندانپزشکی مشغول فعالیت است، بیشتر از سایر پزشکان به جزئیات توجه میکند تا کوچکترین مشکلی برای دندانهای مراجعه کننده به وجود نیاید. به عبارت دیگر ایشان آگاهی زیادی از آسیب شناسی و تنظیم یک برنامه درمانی دارد و ارزش زیادی برای مراجعه کنندگان خود قائل است. با مراجعه به کلینیک کلانتری، نهایت رضایت را از درمان خود خواهید داشت.
خدمات دکتر سامان کلانتری در محدوده فرشته را میتوان به عنوان بهترین دکتر ایمپلنت تهران در نظر گرفت از این رو خدمات کلینیک دکتر سامان کلانتری در زمینه لمینت دندان در تهران نیز میباشد.